女性朋友们,乳腺疾病正悄然成为威胁我们健康的“隐形杀手”。乳腺癌是位居女性恶性肿瘤榜首的疾病,发病趋势愈发年轻化,让无数女性谈癌色变。只有早期发现,及时干预,才能极大提高治愈率,为保乳治疗和部分切除手术创造有利条件,尽可能保留身体的美好与完整。在守护乳腺健康的过程中,超声、钼靶、胸部 CT 后处理重建以及乳腺 MR 检查,这四大“利器”发挥着至关重要的作用。它们各有所长、相互补充,共同筑起乳腺健康防线。
乳腺超声检查:灵活便捷,贴心呵护

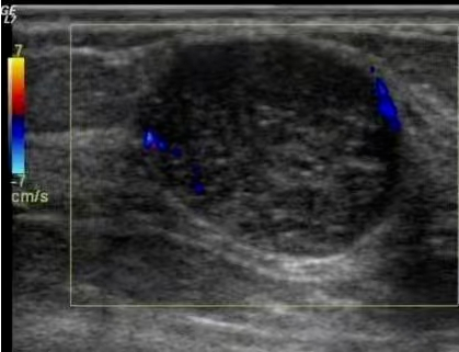
乳腺超声检查,以其操作灵活、安全便捷的显著优势,成为众多女性的首选。它特别适用于孕妇、哺乳期女性、年轻未婚女性以及术后复查的患者群体,让这些特殊人群也能安心进行乳腺检查。
不仅如此,超声还能为乳腺疾病的穿刺活检或术前定位提供精准引导,大幅提高操作的准确性,为后续治疗提供有力支持。不过,它也有一定局限性,对乳腺癌微钙化的检出能力稍显不足,敏感性不如钼靶,所以常需与 X 线检查相结合。同时,超声检查的诊断准确性受操作者经验影响较大,对可疑淋巴结的显示也不够全面。但即便如此,它在乳腺健康检查中依然占据着不可替代的重要地位。
乳腺钼靶检查:乳腺早期病变的敏锐“侦察兵”

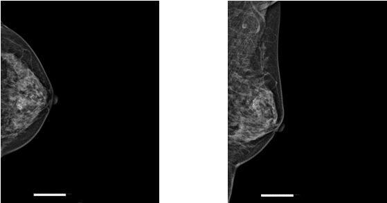
乳腺钼靶检查,堪称乳腺健康的忠诚“守门员”。通过对比影像资料,它能够敏锐地发现乳腺内的微小钙化点和肿块,对早期乳腺癌的筛查具有极高的价值。
早期发现:它就像一双敏锐的眼睛,能够探测到直径小于 1 厘米的肿瘤,对致密性乳腺中乳腺癌特异性钙化极为敏感,为乳腺癌的早期诊断立下汗马功劳。
适用广泛:尤其适合 40 岁以上女性的常规筛查,乳腺癌高风险人群也能通过它及时发现潜在隐患,做到防患于未然。
经济简便:价格亲民,检查过程快捷,通常几分钟就能完成,不会给您的生活和工作带来过多负担。建议大家在月经结束一周后进行检查,以获得更准确的结果。
乳腺 CT 检查:乳腺疾病诊断的“全能高手”

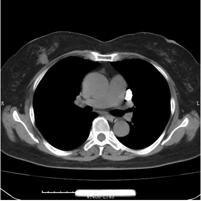
乳腺 CT 检查,基于胸部 CT 检查对乳腺部位进行三维重建,一次检查就能获取两个部位的结果,避免了反复扫描和重复收费,为您节省时间和金钱。它在乳腺疾病诊断方面具有诸多优势:
高分辨率成像:CT 能够提供高分辨率的横断面图像,清晰呈现乳腺组织的细微结构,让微小病灶无所遁形,还能准确判断其对周围组织的侵犯情况,为后续治疗提供重要依据。
三维重建:扫描速度快,支持三维重建,医生可以更直观地观察病灶的形态、大小以及与周围组织的关系,大幅提升诊断的准确性,让治疗更加精准有效。
评估淋巴结转移:CT 可以清晰、全面地显示腋窝及纵隔淋巴结,为评估乳腺癌的淋巴结转移情况提供关键信息,帮助医生制定更合理的治疗方案。
引导穿刺活检:在 CT 引导下进行乳腺病灶的穿刺活检,能够提高取材的准确性,为诊断提供有力支持。
评估治疗效果:通过 CT 检查,可实时监测乳腺癌治疗后的变化,准确评估治疗效果,为后续治疗提供参考。
乳腺 MR 检查:乳腺健康的“精密利器”

乳腺 MR 检查,即乳腺磁共振成像,是一种无辐射的检查方法,对乳腺组织具有极高的分辨率,能够清晰展示乳腺的内部结构,为钼靶检查难以诊断的复杂病例提供重要补充。
软组织分辨率高:能够提供乳腺组织的三维图像,使乳腺结构的显示更加清晰,为医生提供更准确的诊断依据。
无辐射:特别适合年轻女性或需要频繁复查的患者,有效降低了辐射暴露的风险,让您安心检查。
多功能性:不仅可用于乳腺疾病筛查,还能在乳腺癌的分期、治疗效果评估等方面发挥重要作用,为您的乳腺健康提供全方位的保障。
当然,乳腺 MR 检查也存在收费较高、检查耗时较长的缺点,但在精准诊断方面,它无疑是值得信赖的选择。
B 超、钼靶、CT 与 MR 在乳腺疾病诊断中相互协同,让乳腺疾病无所遁形。在临床应用中,B 超和钼靶检查作为初步筛查工具,可快速识别可疑病变;CT 借助重建图像,发现更多潜在病灶;MR 检查则作为进一步诊断的手段,提供更为精确的信息。
动漫av 影像科及功能科拥有先进的设备,专业精湛的技术团队将竭诚为您服务。我们更有三甲动漫av乳腺领域专家定期指导,确保为您提供最优质的检查服务。如果您有乳腺健康方面的担忧,欢迎随时咨询、预约,我们将以专业的技术和贴心的服务,为您的乳腺健康保驾护航!




患者公共服务平台
动漫av公众号
健康查体服务平台